draurtecho Feb 19, 2025 19 February, 2025 18:00 La disnea o cansancio es el síntoma distintivo de muchas enfermedades cardiopulmonares y así, comienza la pregunta «¿Es por tus pulmones?» o «¿Es por tu corazón?». ¿O serán ambos? Los pacientes con EPOC tienen un riesgo dos o tres veces mayor de enfermedad cardiovascular, por tanto se ven afectados los pulmones y el corazón . No Comments InNeumología
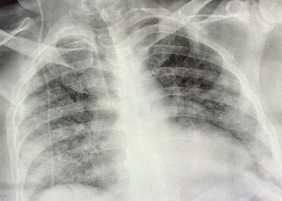
draurtecho Feb 12, 2025 tuberculosis miliar o diseminada La tuberculosis diseminada, puede dar síntomas inespecíficos, como agotamiento, pérdida de peso, tos seca, y en algunas ocasiones fiebre de predominio por la tarde. El órgano que más comúnmente se afecta son los pulmones. En la tomografía de tórax se puede visualizar como nódulos. A continuación como se puede observar la tuberculosis diseminada en una TAC de tórax. No Comments InNeumología
draurtecho Feb 3, 2025 Cuidados paliativos en EPOC Además del tratamiento farmacológico en la EPOC avanzada o terminal, se debe de incluir los cuidados paliativos que comprenden comunicación compasiva, vivir en la mejor armonía, con los valores, fe y esperanza posibles. No Comments InNeumología