draurtecho Ago 31, 2024 Chequeo en enfermedades Pulmonares de origen laboral Para investigar una enfermedad pulmonar de origen laboral, los estudios basicos que debes realizar son: una radiografia de torax y una espirometria. No Comments InNeumología
draurtecho Ago 30, 2024 Enfermedades Pulmonares de origen laboral Las enfermedades pulmonares ocupacionales, o relacionadas con el trabajo, son aquellas causadas o que empeoran por los materiales a los que está expuesta una persona en su lugar de trabajo, como pueden ser sustancias químicas, inorgánicas, polvos etc. El tabaquismo empeora cualquier enfermedad pulmonar relacionada con el trabajo. El chequeo consiste en realizar una radiografía de tórax y espirometría y así evaluar si existe algún tipo de alteración en sus resultados. No Comments InNeumología
draurtecho Ago 27, 2024 Tecnicas de imagen Las técnicas de diagnóstico por imágenes son fundamentales para el diagnóstico de la enfermedad pulmonar. Las radiografías de tórax, las ecografías pulmonares y las tomografías computarizadas ofrecen ventajas y limitaciones únicas. Reconocer patrones radiológicos específicos es útil para identificar patógenos y orientar el tratamiento. No Comments InNeumología
draurtecho Ago 21, 2024 La viruela símica o viruela del mono Es una enfermedad viral rara, pero potencialmente grave, que por lo general comienza con síntomas parecidos a los de la influenza (gripe) y dentro de los síntomas más comunes destaca la erupción cutánea, que puede durar entre 2-4 semanas, puede ir seguida de fiebre, dolor de cabeza, dolores musculares, malestar general e inflamación de los ganglios linfáticos. La erupción aparece en forma de ampollas o lesiones en la piel, que afecta: cara, palmas de manos, plantas de los pies, zona inguinal y que evoluciona a un sarpullido generalizado en la cara y el cuerpo. En la mayoría de los casos, los síntomas desaparecen por si solos, pero en algunas personas, la enfermedad puede resultar grave o provocar la muerte. La transmisión se da por contacto directo, gotitas respiratorias, contacto estrecho. Toma estas medidas para prevenir la infección o la propagación del virus de esta enfermedad: ü Evita el contacto estrecho con personas que tengan un sarpullido parecido al que sale con la viruela del mono. . No Comments InNeumología
draurtecho Ago 21, 2024 La viruela símica o viruela del mono Es una enfermedad viral rara, pero potencialmente grave, que por lo general comienza con síntomas parecidos a los de la influenza (gripe) y dentro de los síntomas más comunes destaca la erupción cutánea, que puede durar entre 2-4 semanas, puede ir seguida de fiebre, dolor de cabeza, dolores musculares, malestar general e inflamación de los ganglios linfáticos. La erupción aparece en forma de ampollas o lesiones en la piel, que afecta: cara, palmas de manos, plantas de los pies, zona inguinal y que evoluciona a un sarpullido generalizado en la cara y el cuerpo. En la mayoría de los casos, los síntomas desaparecen por si solos, pero en algunas personas, la enfermedad puede resultar grave o provocar la muerte. La transmisión se da por contacto directo, gotitas respiratorias, contacto estrecho. Toma estas medidas para prevenir la infección o la propagación del virus de esta enfermedad: ü Evita el contacto estrecho con personas que tengan un sarpullido parecido al que sale con la viruela del mono. ü Evita usar o tocar ropa, sábanas, mantas u otros materiales que hayan estado en contacto con un animal o una persona infectados. ü Aísla a las personas que tengan la viruela del mono para separarlas de las personas sanas. ü Lávate bien las manos con agua y jabón después de tener cualquier tipo de contacto con una persona o un animal infectados. Si no dispones de agua ni de jabón, utiliza un desinfectante de manos a base de alcohol. ü Evita los animales que puedan tener el virus. No Comments InNeumología
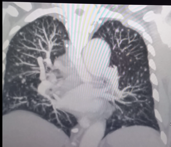
draurtecho Ago 19, 2024 Càncer de pulmòn El cáncer de pulmón en sus primeras etapas es en gran medida asintomático esto significa que los pacientes no se alertan ante cambios físicos obvios. Una vez que aparecen los síntomas, los pacientes suelen ignorarlos, lo que retrasa aún más el diagnóstico y el tratamiento. El cáncer de pulmón puede tardar hasta 8 años para tener un tamaño de 3 cm y con este tamaño, probablemente ya existan metástasis. Cuando existe un factor de riesgo como el tabaquismo, y síntomas que no son comunes, cómo pérdida de peso sin razón, toser la sangre etc. se debe realizar una radiografía de tórax y acudir al médico. La siguiente imagen, es un tipo de cáncer pulmonar en estado avanzado. No Comments InNeumología
draurtecho Ago 19, 2024 Càncer de pulmon El cáncer de pulmón en sus primeras etapas es en gran medida asintomático esto significa que los pacientes no se alertan ante cambios físicos obvios. Una vez que aparecen los síntomas, los pacientes suelen ignorarlos, lo que retrasa aún más el diagnóstico y el tratamiento. El cáncer de pulmón puede tardar hasta 8 años para tener un tamaño de 3 cm y con este tamaño, probablemente ya existan metástasis. Cuando existe un factor de riesgo como el tabaquismo, y síntomas que no son comunes, cómo pérdida de peso sin razón, toser la sangre etc. se debe realizar una radiografía de tórax y acudir al médico. La siguiente imagen, es un tipo de cáncer pulmonar en estado avanzado. No Comments InNeumología
draurtecho Ago 12, 2024 Infecciòn tuberculosa no es igual a decir tuberculosis activa La tuberculosis (TB) es causada por Mycobacterium tuberculosis ( Mtb ). Cuando la persona se ha expuesto al bacilo de la tuberculosis, es lo que se conoce como infección esto es decir, no hay manifestaciones clínicas de la enfermedad como fiebre, tos, pérdida de peso, sino que en el organismo queda una especie de memoria que recuerda que estuviste en contacto con el bacilo de la tuberculosis. La infección se puede comprobar con estudios especiales como el Quantiferon Tb, o PPD y en algunos casos cuando se realiza una radiografía de tórax y se observa un granuloma calcificado; en estos casos se deberá estar alerta, ya que en cualquier momento si podría desarrollar la enfermedad. No Comments InNeumología
draurtecho Ago 2, 2024 secuelas postCOVID Después de la infección por SARS-CoV-2 ò COVID-19, hasta el 15% de los pacientes desarrollan secuelas pulmonares posagudas. Estas secuelas se presentan hasta más de 12 semanas después de la infección e incluyen cansancio, dolor torácico cambios radiográficos o tomográficos como el vidrio despulido y cambios a nivel de la función pulmonar o espirometría, por lo que después de un proceso viral ocasionado por el COVID, se debe dar seguimiento. No Comments InNeumología