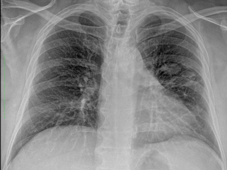
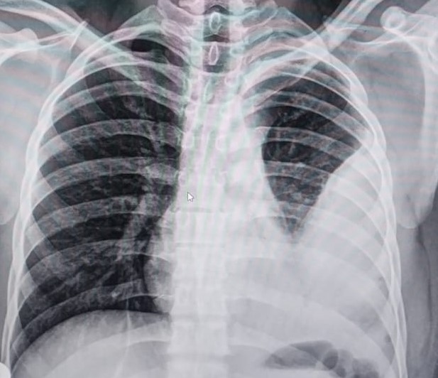
draurtecho Ago 27, 2024 Las técnicas de diagnóstico por imágenes son fundamentales para el diagnóstico de la enfermedad pulmonar. Las radiografías de tórax, las ecografías pulmonares y las tomografías computarizadas ofrecen ventajas y limitaciones únicas. Reconocer patrones radiológicos específicos es útil para identificar patógenos y orientar el tratamiento. No Comments InNeumología
Leave a Reply Cancelar la respuestaTu dirección de correo electrónico no será publicada. Los campos obligatorios están marcados con *Comment Name* Email* Guarda mi nombre, correo electrónico y web en este navegador para la próxima vez que comente.