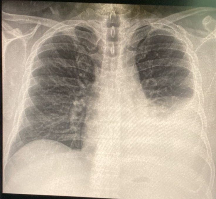
draurtecho Jul 17, 2024 La tuberculosis puede presentarse de muchas formas y dar síntomas clínicos como fiebre tos, pérdida de peso. Una de las presentaciones más frecuente a nivel pleural es el derrame pleural y a nivel pulmonar podría presentarse en forma de nódulos, como se muestra en las siguientes imágenes. No Comments InNeumología
Leave a Reply Cancelar la respuestaTu dirección de correo electrónico no será publicada. Los campos obligatorios están marcados con *Comment Name* Email* Guarda mi nombre, correo electrónico y web en este navegador para la próxima vez que comente.